Le Circovirus porcin de type 2 (PCV2) est l'un des agents pathogènes économiquement les plus importants de l'industrie porcine. Ce petit virus omniprésent est aujourd'hui reconnu comme l'agent essentiel de plusieurs maladies collectivement appelées maladies dues au circovirus porcin (PCVDs). Parmi ces PCVDs, la maladie systémique due au PCV2 (PCV-SD, auparavant connue comme le syndrome de l'amaigrissement post- sevrage, la MAP) est la plus significative. Bien que l'infection par le PCV2 soit nécessaire pour fournir le tableau complet des signes cliniques et les lésions de PCV-SD (figure 1), la maladie se reproduit plus efficacement avec la co-inoculation d'autres agents pathogènes. L'un de ces agents pathogènes est Mycoplasma hyopneumoniae (Mhyo). Mhyo est le principal agent étiologique de la pneumonie enzootique (PE), une maladie respiratoire chronique qui touche principalement les porcs en engraissement. Les lésions du type PE sont caractérisées par une pneumonie broncho-interstitielle avec hyperplasie du tissu lymphoïde broncho-alvéolaire (BALT) (figure 2). Avec d'autres agents pathogènes, y compris le PCV2, Mhyo a un rôle essentiel dans le complexe respiratoire porcin (CRDT). Par conséquent, le diagnostic et le contrôle de l'interaction entre les deux pathogènes est d'une importance capitale pour les éleveurs de porcs et les vétérinaires à travers le monde.
![]() |
![]() |
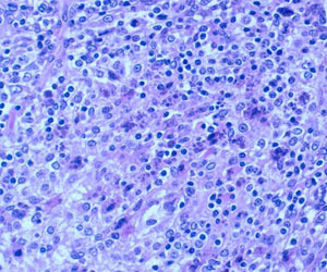
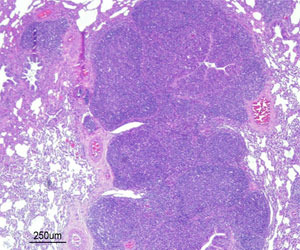
| Figure 1: Déplétion lymphocytaire sévère avec inflammation granulomateuse du tissu lymphoïde. Présence de corps d'inclusion intracytoplasmiques | Figure 2: Pneumonie broncho-intersticielle avec hyperplasie du tissu lymphoïde bronch-alvéolaire (BALT) causé par une infection expérimentale par Mhyo. |
Plusieurs études décrivent la prévalence de la co-infection PCV2 et Mhyo en conditions de terrain. En fait, une récente étude de terrain a montré que la séropositivité face à Mhyo était un facteur de risque associé à une plus importante gravité de PCVD. Cependant, il est important de noter que l'infection ou le développement d'anticorps contre ces deux pathogènes n'exclut pas l'interaction synergique et le développement de la maladie et, par conséquent, on ne peut pas faire d'extrapolations à partir des études de prévalence. Les conséquences réelles et les implications de cette co-infection doivent être analysées en conditions expérimentales.

L'infection expérimentale par le Mhyo et le PCV2 a donné des résultats quelque peu contradictoires. Un dispositif expérimental consistant à l'inoculation de porcs non exposés avec Mhyo et, deux semaines plus tard, avec le PCV2, a entraîné une augmentation généralisée de la gravité des lésions associées au PCV2. Cette augmentation de la gravité a été attribuée à la capacité de Mhyo à stimuler la production de macrophages et ainsi, faciliter la réplication du PCV2, avec la modification du profil d'expression d'ARNm pour les cytokines. En revanche, l'inoculation simultanée de Mhyo et du PCV2 sur des porcs séropositifs n'a pas produit ces résultats synergiques. Ces résultats divergents peuvent probablement s'expliquer par plusieurs différences dans le schéma expérimental (tableau 1). Par conséquent, la potentialisation des lésions causées par l'infection du PCV2 par l’infection par Mhyo peut se produire, mais cela dépend de différents facteurs.
Tableau 1: Différences dans le schéma expérimental entre deux modèles de co-infections par Mhyo et le PCV2 qui produiront des résultats différents.
| Opriessnig et al., 2004 | Sibila et al., 2012 | ||
| Age d'inoculation | Mhyo | 4 semaines d'âge | 6 semaines d'âge |
| PCV2 | 6 semaines d'âge | 6 semaines d'âge | |
| Type d'animaux | Séronégatifs aux deux pathogènes | Séropositifs aux deux pathogènes | |
| Souche et dose inoculée de Mhyo | Souche 232, tissu homogénéisé, 105 CCU/ml | Souche 98, culture fraîche, 106 CCU/ 5 ml le premier jour et 109 CCU/ 5 ml le second | |
La potentialisation des lésions produites par le PCV2 a aussi été décrite dans différentes études de terrain et expérimentales sur la stimulation du système immunitaire. Tout d'abord, la vaccination contre Mhyo a été signalée comme l'une des causes pouvant stimuler la réplication du PCV2. Deuxièmement, cette stimulation a été attribuée à des adjuvants particuliers plutôt qu’au vaccin lui-même. Pour éviter la potentialisation présumée de la réplication du PCV2, on a recommandé de vacciner contre Mhyo avant la circulation du PCV2. Par exemple, dans des conditions expérimentales, on a observé que la vaccination contre Mhyo entre 2 et 4 semaines avant l'exposition au PCV2 ne potentialise pas les lésions de PCV2-SD.
Les stratégies vaccinales contre ces agents pathogènes ont plus ou moins la même évolution : de deux doses à une dose unique. De plus, le fait que les vaccinations contre le PCV2 et Mhyo peuvent coïncider dans le temps a conduit à se demander s'ils peuvent être appliqués simultanément ou en combinaison, au même âge. Cette stratégie permettrait de réduire le travail et le stress des animaux. Toutefois, dans ce scénario on doit réévaluer l'efficacité des deux vaccins. Aujourd'hui, il y a peu d'articles revus comparant l'efficacité de la vaccination simultanée par rapport à la vaccination combinée, c'est pourquoi il est difficile de tirer des conclusions scientifiques.
Après plusieurs années d'administration, la capacité des vaccins contre le PCV2 et Mhyo à réduire la gravité des lésions et améliorer les performances de croissance a été largement démontrée. Cependant, certaines études de terrain montrent que l'administration de certains vaccins en post-sevrage peut affecter les performances juste après le sevrage (diminution de la consommation et de la croissance). Toutefois, dans un scénario d'exposition à des agents pathogènes, cet effet immédiat, mais transitoire, doit toujours être mis en balance avec les avantages de la vaccination sur le cycle complet de production.





