Détection des antigènes viraux du SDRP
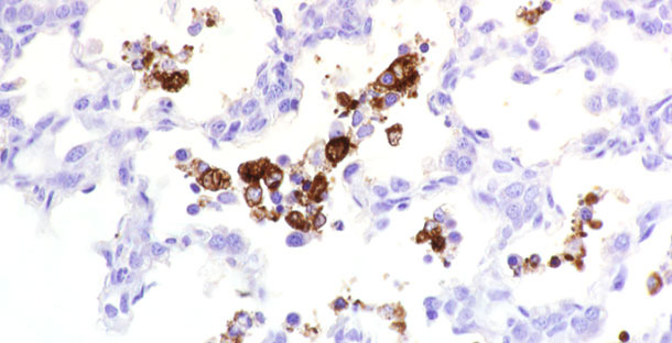
Un diagnostic définitif de SDRP chez les porcs malades peut être obtenu par la détection des lésions microscopiques caractéristiques du SDRPv avec la démonstration de présence d’antigène viral dans les tissus avec lésions. Pour détecter des antigènes du SDRPv dans les tissus, on peut utiliser la fluorescence d’anticorps (FA) ou l’immunohistochimie (IHC) sur des sections de tissu congelé (figure 1). Ces tests sont combinés avec des anticorps monoclonaux ou polyclonaux spécifiques du SDRPv. Le test de FA directe sur des morceaux de tissu congelé est bon marché et rapide. Il est spécifique mais pas toujours très sensible. Les résultats sont particulièrement affectés par la qualité du tissu (par exemple l’autolyse). En revanche, l’IHC est utile pour détecter l’antigène viral dans les tissus fixés au formol. L’IHC est plus sensible que la FA directe mais demande plus de temps et est plus chère.


Figure 1 : Antigène du SDRPv détecté dans un tissu
Pour la FA directe on doit envoyer les tissus frais ou congelés et, s’ils sont envoyés pour l’IHC, il faut qu’ils soient fixés dans le formol neutre tamponné à 10%. Cependant, la fixation prolongée de tissus dans le formol est préjudiciable pour une détection efficace d’antigènes par l’IHC. Si on tarde dans la réalisation du test, on recommande de placer les tissus dans de l’alcool après la fixation au formol. Les tissus favoris pour ces tests sont le cœur, le rein, le poumon, les ganglions lymphatiques, la rate, le thymus et les amygdales. Les antigènes de SDRPv peuvent être aussi détectés dans la glande surrénale, l’intestin, le foie et parfois le cerveau. En réalisant la FA et l’IHC, on peut utiliser des anticorps monoclonaux spécifiques pour des antigènes hautement conservés parmi les isolats des USA et d’Europe ou on peut utiliser des anticorps monoclonaux contre des épitopes moins conservés pour évaluer les différences antigéniques entre les souches. Si le diagnostic du SDRP est réalisé avec la FA ou l’IHC, étant donné la forte spécificité des anticorps monoclonaux et la variabilité antigénique significative du virus du SDRP, il vaut souvent mieux utiliser plus d’un anticorps monoclonal dans l’essai pour éviter un diagnostic erroné.
Détection du matériel génomique viral du SDRP
On a développé des tests basés sur la réaction en chaîne par polymérase (PCR) pour détecter l’ARN du SDRPv (c’est-à-dire l’acide nucléique) sur les échantillons cliniques. Etant donné que le virus n’a pas besoin d’être isolé en culture cellulaire pour détecter l’ARN viral, la PCR peut fournir le résultat de façon plus rapide que l’isolement du virus. En règle générale, on pense que les essais basés sur la PCR sont très sensibles et très spécifiques.

Figure 2 : Détection de matériel génomique viral de SDRP sur des échantillons cliniques par PCR fluorogénique automatisée.
On a développé plusieurs types d’analyses basées sur la PCR qui utilisent des amorces spécifiques, complémentaires aux séquences des différents fragments génomiques pour la détection de matériels génétiques viraux du SDRP sur les échantillons cliniques. Dans toute analyse basée sur la PCR pour le SDRPv, l’ARN viral a besoin d’être extrait des échantillons cliniques et transformé en ADN complémentaire (ADNc) en utilisant une enzyme transcryptase inverse (RT). Ensuite, l’ADNc est amplifié exponentiellement par la PCR en utilisant une enzyme Taq polymérase et des amorces spécifiques du virus. La coïncidence exacte des amorces, suivie par l’amplification exponentielle, est destinée à produire un test très sensible et très spécifique. Récemment, on a développé des tests basés sur la PCR fluorogénique automatisée (c’est-à-dire RT-qPCR) pour détecter le matériel génomique viral du SDRP sur des échantillons cliniques (figure 2). Ces PCR utilisent l’amplification en un seul passage dans un tube dans lequel des sondes fluorescentes s’unissent au produit de la PCR à mesure qu’elle se produit (c’est-à-dire, PCR «en temps réel»). On pense que les PCR fluorogéniques améliorent la fiabilité et la consistance des RT-PCR conventionnelles pour détecter le SDRPv (figure 3)..

Figure 3. PCR fluorogénique pour détecter le SDRPv.
Les tests basés sur la PCR ont été utilisés pour détecter l’ARN du SDRPv sur différents échantillons cliniques, comme le fluide oral et des prélèvements environnementaux. La PCR est particulièrement utile pour la détection de l’ARN viral sur des échantillons de semence ou de fèces qui sont cytotoxiques pour la culture cellulaire ou qui ne peuvent pas être évalué par d’autres méthodes. Elle est aussi utile pour détecter l’ARN du SDRPv dans les tissus fœtaux et les fluides thoraciques, c’est-à-dire, des échantillons où le SDRPv peut être facilement inactivé par autolyse. L’utilisation de l’analyse PCR est devenue plus courante autant pour le diagnostic du SDRP que pour aider dans le suivi/vigilance (c’est-à-dire dans le choix des animaux de renouvellement, la détection d’animaux porteurs et les programmes de test et d’élimination) ou dans la biosécurité de l’élevage (c’est-à-dire, des tests environnementaux, le contrôle des camions, les tests de semence).
La PCR est un outil cher par rapport aux autres méthodes de diagnostic. De plus, on doit tenir compte qu’un résultat positif de PCR indique la présence d’ARN viral mais pas nécessairement la présence du SDRPv infectieux. De plus, la réalisation des tests PCR dans différents laboratoires peut varier en fonction de la condition du prélèvement, du traitement, de la technique d’extraction, des amorces utilisées, des conditions de cycles thermiques et de la capacité et de l’expérience du technicien que réalise le test. En conséquence, il est important que les laboratoires qui réalisent la PCR incluent pour valider leurs analyses des estimations de sensibilité, de spécificité, des comparaisons avec les normes de référence, des résultats d’essais d’aptitude et des études expérimentales ou de terrain de l’essai.






