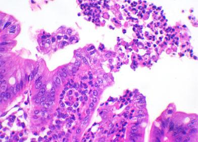
L’évaluation histologique des fragments intestinaux cités dans l’article précédent devrait permettre la suspicion de l’agent possiblement impliqué dans le processus et dans certains cas, définir la présence d’agents infectieux. Par exemple, l’atrophie des villosités peut être due par les coccidies (I. Suis), les Rotavirus, le GETv, le PEDv, le Deltacoronavirus ou aussi C. perfringens de type A. Si les échantillons appartiennent à des porcelets de plus de 5 ou 6 jours, on peut trouver des formes sexuées ou asexuées d’I. suis dans le cytoplasme des entérocytes de l’extrémité des villosités. Si on ne trouve pas de coccidies, on peut réaliser une immunohistochimie pour détecter la présence d’antigènes viraux de Rotavirus ou de Coronavirus dans les entérocytes. Dans presque tous les cas d’ETEC, l’examen histologique permettra la détection d’une myriade d’organismes cocobacillaires adhérents à la superficie de l’entérocyte sur la base ou sur la paroi latérale des villosités. C. perfringens de type C entrainerait une lésion transmurale fibrinonécrotique et hémorragique de répartition segmentaire dans l’intestin grêle. C. difficile est le seul agent infectieux qui causera des lésions dans le gros intestin. On observe souvent l’œdème du mésocôlon. Les principales découvertes dans les cas d’infection par C. difficile sont la diminution des cellules caliciformes et une grande infiltration de neutrophiles dans la muqueuse du côlon qui dans certains cas, rompent l’épithélium comme une éruption volcanique. C. perfringens de type A est le plus difficile à déterminer par histopathologie puisqu’il peut entraîner une atrophie des villosités mais le fait de ne pas trouver cette lésion n’écarte pas cette possibilité.

Clostridium difficile


| Rotavirus | Clostridium perfringens | E. coli |
Il est important que la bactériologie sur des échantillons frais d’intestin se fasse autant dans des conditions aérobies qu’anaérobies. E.coli croîtra facilement sur de la gélose au sang et du MacConkey mais la croissance pure de colonies beta-hémolytiques n’est pas un diagnostic définitif car il demande un typage pour démontrer la présence de facteurs pathogènes comme les gènes de fimbriae (F4, F5, F41, F18, …) et les toxines (LT, STa, STb, STx2e, …). Ce typage est souvent réalisé par une PCR multiplexe. Pour le diagnostic de C. perfringens de type C, la culture anaérobie est essentielle avec le typage moléculaire (PCR multiplexe) pour la détection des gènes de toxines comme la beta toxine. Les routines bactériologiques pour C. perfringens de type A et C sont identiques. Auparavant, la détection du gène pour la toxine beta-2 était le marqueur pour les souches pathogénes de C. perfringens de type A mais des études récentes de notre groupe et du groupe de la Iowa State University ont démontré que les souches beta-2 positives à C. perfringens de type A sont plus fréquentes chez les animaux sains que chez les porcs diarrhéiques. Pour résumer, la définition finale et le diagnostic de C. perfringens de type A est le plus compliqué.
L’isolement viral est difficile dans le diagnostic de routine, c’est pourquoi on doit faire des tests alternatifs. On ne réalise presque jamais de microscopie électronique de transmission pour la détection du coronavirus ou du rotavirus et on l’utilise seulement dans certains laboratoires de diagnostic des USA. On réalise plus fréquemment l’électrophorèse sur gel de polyacrylamide (PAGE) sur des échantillons fécaux pour l’identification de l’ARN segmenté du rotavirus A, B et C bien que sa sensibilité soit plus importante si on utilise des PCR multiplexe. Pour le diagnostic du coronavirus (PED, GET et Deltacoronavirus), en Amérique du Nord, on a utilisé très souvent la technique PCR multiplexe en utilisant un ensemble différent d’engraisseurs.
La matière fécale du gros intestin est précieuse pour la détection des toxines A et B de C. difficile. Comme cet agent fait partie du microbiote intestinal normal, la détection des toxines citées au moyen de kits commerciaux ELISA est essentielle pour son diagnostic. Il est important de préciser que ces kits commerciaux ELISA ont été développés et améliorés pour les prélèvements humains et que la sensibilité sur les fèces porcins est faible. La taille de l’échantillon est par conséquent importante et on demande d’analyser au moins 3 à 6 échantillons fécaux d’animaux diarrhéiques. Sur le même principe, l’examen direct de fèces est souvent utilisé pour la détection d’ookystes de coccidies, cependant, comme la sensibilité est aussi faible, on recommande de récolter des échantillons de 3 à 5 porcelets par portée avec de la diarrhée clinique, sur 10% des portées entre 7 et 21 jours.
On peut conclure que la détection d’agents entéropathogènes sur des porcelets nouveau-nés est toujours compliquée. Le principal point à ne pas oublier est l’approche globale nécessaire pour évaluer toutes les possibilités. En ce sens, on doit prendre des échantillons et analyser vis-à-vis de tous les agents qui peuvent causer cette diarrhée. La PCR est un outil puissant bien qu’il ne faille pas tout miser sur cette carte. Des techniques plus anciennes, comme l’histopathologie peuvent guider l’interprétation des résultats et vous donner de plus amples perspectives.
