Antécédents
Il s’agit d’un multiplicateur naisseur-engraisseur de 800 truies. Les sites 2 et 3 sont séparés du site 1 mais à l’intérieur de la même exploitation. Il utilise une alimentation liquide. L’élevage est positif au SDRP mais stable (de façon irrégulière). Le PS et les engraissements sont modulaires.

L’éleveur a eu recours à nous, précisant que des « porcelets anormaux » naissaient ou bien étaient morts à la naissance ou mourraient dans les premiers jours après la mise-bas, surtout des porcelets de primipares. Cela s’est accru après un cas de SDRP. La quantité de porcelets atteints par portée est de 20 à 30%.

La première chose que nous nous demandons est: que signifie avoir des porcelets « anormaux » ?...et ensuite après avoir contrôlé « in situ » ces porcelets, on peut voir que ce qu’ils présentent est un problème de phénotype, c’est ce que l’on observe au moins à première vue (figures 1 et 2).

Phase de recherche
On a envoyé des animaux au département d’Anatomie Pathologique de la faculté de Vétérinaire de Saragosse pour réaliser une étude.
Les premiers animaux qui ont été envoyés présentaient un œdème sous-cutané et des kystes sérieux sur le foie (figures 3 et 4).
|
Figure 3. Œdème sous-cutané |
Figure 4. Kystes hépatiques séreux |
Lésions macroscopiques
- Abdomen modérément distendu, intestins remplis de gaz sans altérations visibles sur la muqueuse. Les autres organes ne présentent pas d’altérations notables.
Lésions microscopiques
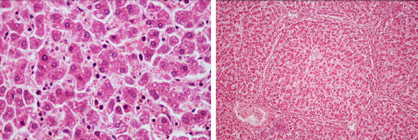
- Foie : disparition accentuée des hépatocytes de manière diffuse à l’intérieur des lobules, désorganisation hépatocytaire modérée et dégénération discrète hydropique diffuse.
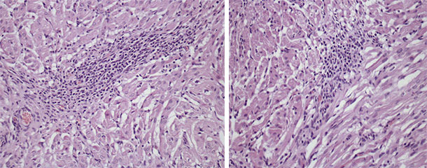
- Cœur : discrète hémorragie multifocale dans l’endocarde et infiltration inflammatoire mononucléaire discrète dans les coronaires. Myocardite et nécrose des cellules myocardiques.
- Intestin : dilatation des vaisseaux lymphatiques des villosités, infiltration mononucléaire dans les villosités et la sous-muqueuse.
- Encéphale : manchons périvasculaires.

| Myocardite porcelet 1 | Myocardite porcelet 2 |

| Dégénérescence hépatique hydropique diffuse | Désorganisation hépatique diffuse |
Diagnostic anatomopathologique :
- Dégénérescence, disparition et désorganisation diffuse des hépatocytes et myocardite.
Avant cela, on a pris la décision d’effectuer une analyse biochimique sur les porcelets atteints et sur les porcelets apparemment normaux à l’intérieur des portées.
| Porcelet 1 anormal | Porcelet 2 anormal | Porcelet 3 anormal | Porcelet 4 anormal | Porcelet 1 normal | Porcelet 2 normal | Porcelet 3 normal | |
| ALB | 0 | 0 | 0 | 0,4 | 2,5 | 1.3 | 2,5 |
| ALT | 60 | 47 | 56 | 60 | 63 | 27 | 28 |
| BIL | 0,4 | 0,4 | 0,4 | 0,5 | 0,4 | 0,5 | 0,9 |
| BUN | 8 | 11 | 12 | 7 | 7 | 4 | 9 |
| CRE | 1,3 | 1,2 | 0,6 | 0,5 | 0,5 | 1 | 0,7 |
| TP | 3,2 | 4,4 | 4 | 4,5 | 6 | 4,9 | 5,3 |
| GLOB | 0 | 0 | 0 | 0 | 3,5 | 3,6 | 2,8 |
ALB (Albumine), ALT (Alanine transférase), BIL (Bilirubine), BUN (Urée), CRE (Créatinine), TP (Protéines Totales), GLOB (Globulines).
En faisant une analyse rapide on observe qu’autant l’albumine que les globulines ont une valeur de 0 ou proche de 0, on a effectué un protéinogramme de ces animaux et on a observé que les valeurs n’étaient pas de 0 mais étaient excessivement basses.

| Porcelet 1 anormal | Porcelet 2 anormal | Porcelet 3 anormal |
Diagnostic différentiel
- En 2004, dans l’Australian Veterinary Journal, un groupe de chercheurs dirigés par S. McOrist définissent un syndrome qui touche les porcelets nouveau-nés avec les symptômes suivants :
- Naissance de porcelets morts ou petits
- Œdème sous-cutané sur la tête et le thorax
- Chez certains : œdème sous-cutané sur tout le corps ce qui donne la dénomination de ces porcelets de « Jelly piglets » (porcelet gélatineux).

Photo due à Dr. Steven McOrist
- En 2007, P.D. Kirkland et al. a isolé le virus qui produit le syndrome de la myocardite porcine (PMC). C’est un Pestivirus de la famille des Flaviviridae.
- Lésions produites :
- Myocardite multifocale non suppurative avec de la myonécrose dans certains cas.
- Trouble cardiaque congestif secondaire
- Œdème sous-cutané sur le crâne et transsudat dans la cavité thoracique
- Il n’y a PAS de lésions hépatiques
On l’appelle le « syndrome de la myocardite du porcelet » produit par le virus Bungawannah.
Devant cette suspicion et sachant que le virus Bungawannah est un pestivirus et connaissant aussi ce qu’est le BVD et que dans la plupart des cas en production porcine il y a une réponse croisée dans les analyses entre pestivirus de différentes espèces, on a demandé l’analyse du BVD sur ces porcelets en obtenant comme résultat, un résultat négatif.
On doit se souvenir que nos porcelets « anormaux » avaient de très faibles taux d’albumine et de globulines et avaient aussi des niveaux d’ALT de plus du double par rapport aux porcelets « normaux ». L’albumine représente entre 35 et 50% des protéines du sang. Elle est synthétisée dans le rein.
On a soulevé le thème de l’hypo albuminémie et on doit souligner que cette altération peut être due à :
- Néphrite, néphrose et maladie glomérulaire (BUN et CRE élevés).
- Inanition, malnutrition, maladies gastro-intestinales chroniques.
- Maladie hépatique, nécrose hépatique, hépatite (ALT et ALP élevés)
- Alcoolisme
En voyant cela, il y a lieu de rappeler que l’élevage dans lequel on réalise l’étude il y a une alimentation liquide.
Dans les composants de l’alimentation, il y a de la levure de bière comme source de protéines.
Cette levure de bière a un contenu en alcool de 2,6° et on administrait 2 litres de levure par animal et par jour en gestation.
C’est alors que nous nous sommes demandés:l’alcool peut-il influer sur la gestation d’une truie ?
En médecine humaine il existe un syndrome appelé « Syndrome alcoolique fœtal » (SAF)
- Syndrome diagnostiqué aux USA en 1973
- Causé par l’ingestion d’alcool de la mère en phase de gestation
- Produit chez le nouveau-né les altérations suivantes :
- Croissance déficiente en phase fœtale
- Diminution du tonus musculaire et incoordination
- Retard dans le développement mental
- Anomalies cardiaques
- Altérations dans la structure de la tête et du visage
Mesures correctives
Devant l’apparition d’animaux avec symptômes principalement chez les truies primipares, on a suspecté que, n’ayant jamais pris auparavant d’aliment liquide - et par conséquent de la levure de bière (alcool) – cela pouvait atteindre davantage ce groupe d’animaux. Les truies multipares, en prenant ce type d’alimentation aussi en maternité et ensuite dans les gestations ultérieures, pourraient avoir un facteur « d’accoutumance » et une meilleure tolérance de ces taux d’alcool.
On a cessé d’administrer pendant 6 mois la levure de bière dans la ration de ces animaux et les porcelets « anormaux » ont cessé d’apparaître.
Conclusions
Après avoir tout analysé, on ose décrire un nouveau syndrome en production porcine
Le Syndrome alcoolique fœtal porcin.
- Etiologíé: ingestion d’un toxique, l’alcool éthylique
- Pathogénie: Scela se produit surtout chez les truies primipares gestantes dont l’aliment comprend de la levure de bière ou d’autres composants avec un niveau élevé d’alcool.
- Signes clíniques: naissance de porcelets avec des malformations externes et internes surtout du rein et du cœur.
- Analyse biochimique: hypoalbuminémie, augmentation de l’ALT
- Découvertes macroscopiques : œdème sous-cutané et altération du phénotype
- Découvertes microscopiques
- Foie : disparition accentuée des hépatocytes de manière diffuse à l’intérieur des lobules, désorganisation hépatocytaire modérée et discrète dégénérescence hydropique diffuse.
- Cœur : hémorragie multifocale discrète dans l’endocarde et infiltration inflammatoire mononucléaire discrète dans les coronaires. Myocardite, nécrose des cellules myocardiques.
- Diagnostic différentiel
- Consanguinité des parents
- Carence en vitamines B
- Entéropathie avec pertes de protéines (EPP)
- Syndrome de la myocardite porcine (PMC)
- Trouble rénal avec maladie glomérulaire
- Facteur prédisposant : ingestion d’alcool éthylique pendant la phase de gestation, principalement sur le dernier mois, les truies primipares étant plus sensibles.
- Diagnostic : porcelets avec œdème sous-cutané et altérations dans le foie et le cœur. Biochimie avec hypoalbuminémie.
- Traitement :
- Retirer le toxique causant le problème
- Apport de vitamine B12
- Apport de protecteurs hépatiques.
- Augmentation de méthionine dans la ration.




