Pour la filière porcine, les améliorations des vaccins et de leur système d’application qui augmentent leur efficacité, leur sécurité ou conformité et minimisent le stress de l’animal sont essentielles. Cet article est une mise à jour d’une rubrique que l’on a publiée en 2005 dans la revue Swine Health and Production sur la technologie sans aiguille et son utilisation pour le contrôle des maladies porcines. Jusqu’à présent, les seringues avec aiguille ont été la principale méthode pour l’administration des vaccins et des médicaments chez les porcs. Bien que les seringues et aiguilles soient des matériels économiques et facilement adaptables à différentes situations, la technologie sans aiguille offre des avantages par rapport à la méthode traditionnelle d’administration des vaccins notamment l’absence d’aiguilles cassées, la bonne application du vaccin, la diminution du volume de vaccins et une plus grande dispersion de l’antigène, l’élimination des piqûres accidentelles des salariés, l’élimination de la récupération des aiguilles usagées et moins de douleur ou stress (tableau 1). Eviter les aiguilles cassées et les piqûres accidentelles est important pour la certification de la qualité porcine des USA (PQA). Les dispositifs d’injection sans aiguille (NFID, les initiales en anglais) fonctionnent par un jet d’air à forte pression qui pénètre dans l’épiderme, le derme et pénètre même dans le tissu sous-cutané (figure 1, panneau A). Les vaccins administrés par NFID sur les porcs peuvent être utilisés entre la moitié et un dixième de la dose recommandée pour un vaccin intramusculaire à cause de la large diffusion de l’antigène et du contact avec les cellules présentatrices de l’antigène présentes dans la peau (figure 2). Il n’y a pas de données du nombre de lésions par piqûres chez les salariés mais les piqûres sont la principale cause de lésions physiques chez les vétérinaires porcins avec 580 sur 794 (73%) vétérinaires blessés sondés. 36% de ces lésions ont des effets néfastes (douleur, inflammation locale, hématome, infection, abcès superficiel et cellulite). Chez l’homme, les dispositifs NFID de dernière génération ont démontré diminuer la douleur et le stress au moment de la vaccination par rapport à l’usage d’aiguilles bien qu’il y ait eu quelques plaintes de douleur post-vaccination.
Tableau 1 : Avantages et inconvénients des NFID

| Avantages | Inconvénients |
|
Absence d’aiguilles cassées Administration systématique du vaccin (profondeur tissulaire correcte) Moins de volume de vaccin Dispersion de l’antigène plus importante Elimination des piqûres chez les salariés Elimination de la récupération des aiguilles usagées Diminution de la douleur et du stress |
Coûts initiaux plus importants Infrastructure pour le stockage du gaz Exigence plus importante sur la formation et l'entretien Il n’y a pas de NFID universel Confiance des salariés sur les NFID ![]() |

Figure 1 : Immunisation par voie cutanée. A) l’injection avec jet d’air dépose le vaccin sur la zone musculaire, sous-cutanée ou dermique, dépendant des paramètres de l’injection. B) L’immunisation épidermique en poudre dépose la poudre dans les couches superficielles de la peau (dans l’épiderme et dans les couches superficielles du derme), où elle est reconnue par les cellules de Langerhans. C) Application topique des vaccins qui les dépose sur l’épiderme où sont reconnus et traitées par les cellules de Langerhans. Ca) L’immunisation par ADN peut être réalisée par les follicules pileux. Cb) Le « Tape stripping » (l’application répétée de ruban adhésif) élimine la couche cornée et facilite l’absorption du vaccin. Cc) L’ablation de la couche cornée par la température ou des ondes radio créé des micropores augmentent l’administration du vaccin. Cd) les porteurs colloïdaux comme les micro-émulsions et les transférosomes augmentent l’absorption dermique des vaccins appliqués topiquement. Ce) Les ultrasons à basse fréquence sont un adjuvant pour les vaccins appliqués topiquement et augmentent aussi le passage du vaccin à travers la peau. Cf) Les adjuvants appliqués topiquement comme la toxine du choléra peuvent induire une réponse immunitaire puissante. Cg) L’électroporation de la couche cornée augmente l’administration des vaccins à ADN dans l’épiderme. Ch) Les micro-aiguilles à faible profondeur qui pénètrent dans l’épiderme administrent le vaccin de façon efficace. Reproduit avec l’autorisation de Macmillan Publishers Ltd.

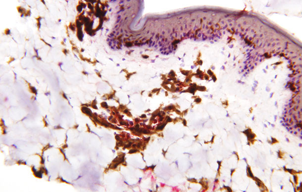
Figure 2 : Répartition des cellules dendritiques dans l’épiderme, le derme et le tissu sous-cutané chez le porc. Les cellules dendritiques sont colorées en marron (Photo des Drs. Charles Nfon et William Golde, Plum Island Animal Diseases Center, Agricultrual Reseach Service, USDA).

Figure 3 : Schéma expérimental pour évaluer la capacité d’un dispositif d’injection sans aiguille (NFID) pour prévenir la transmission hématogène du virus du SDRP.
Les systèmes d’injection sans aiguille ont aussi des inconvénients comme le coût initial de l’appareil, l’équipement du stockage du gaz (dans les systèmes qui utilisent l’air comprimé ou le CO2), l’expérience technique et pratique (formation des opérateurs et entretien des équipements) et l’impossibilité de remplacer complètement les systèmes avec aiguille en production porcine (tableau 1). Le coût de l’équipement varie selon le type d’injecteur et il y a des coûts supplémentaires associés à l’entretien et à l’infrastructure, particulièrement ceux à air comprimé.
L’application sans aiguille demande une méthode d’application constante. Les NFID sont calibrés pour administrer le vaccin quand le dispositif est perpendiculaire (90°) à la peau. Une vaccination faite dans un angle plus aigu ou obtus affecterait la répartition du vaccin dans le tissu. De plus, les parties mobiles et le système de gaz nécessitent un entretien régulier. Finalement, il n’y a pas de NFID universel pour toutes les applications qui demandent des injections. En fonction de l’âge des animaux, de la dose du traitement et de la viscosité de la substance à injecter, on a besoin d’un volume d’injection différent, d’une pression différente et aussi d’un NFID différent. Une autre raison pour l’utilisation d’équipements transdermiques (TD) peut être l’idée qu’on limite la transmission d’animal à animal par rapport à l’usage d’aiguilles. La vaccination d’un animal positif au virus du SDRP en utilisant un TD transmet le virus à 25% des animaux négatifs alors que l’utilisation d’aiguilles le transmet à 100% des animaux (figure 3). Bien que le TD diminue certainement la dissémination, ceci illustre qu’il peut aussi transmettre des infections, par conséquent l’opérateur continue d’avoir besoin d’utiliser un protocole adapté de désinfection du dispositif du TD.
Les raisons pour lesquelles la filière porcine ne l’a pas plus mis en place sont le coût du dispositif et les coûts associés d’entretien et d’infrastructure, une plus grande complexité que le système traditionnel des aiguilles, l’incertitude que l’animal ait bien été vacciné (c’est-à-dire, il n’y a aucun signe que l’animal ait été vacciné et/ou il y a un aspect « humide » sur le lieu d’injection) et le besoin de formation. En conclusion, les TD ont beaucoup d’avantages pour l’administration de vaccins et de médicaments chez le porc, cependant, ils demandent une bonne formation du personnel et un bon entretien de l’équipement.







