
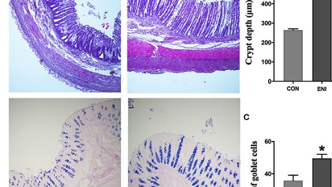
Effetti degli interventi nutrizionali precoci sulle prestazioni di crescita e sulla salute intestinale dei suinetti
L'integrazione con latte sintetico potrebbe essere una misura fattibile per migliorare la salute e ridurre la mortalità nei suinetti...







