Anémie - Atlas de pathologie

Localisation: Autres
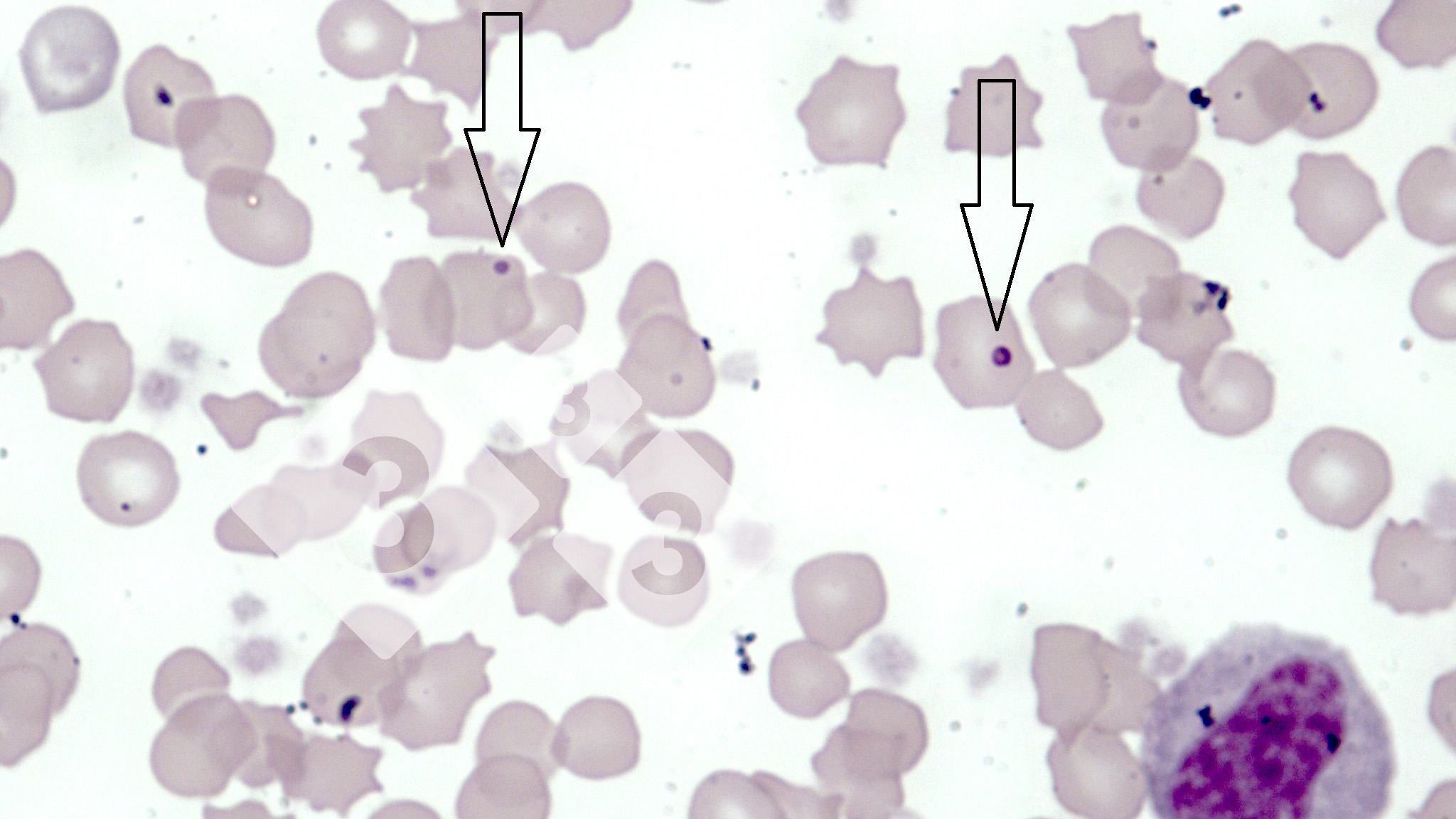
Causes possibles: Mycoplasma suis
Il s’agit d’une anémie causée par de petites bactéries Mycoplasma suis (anciennement connu sous le nom d’ Eperythrozoon ). Les truies touchées sont abattues, maigres et pâle avec une faible production de colostrum et de lait. L'anémie chez les porcs peut être confirmée par l'examen de la sclérotique ou des paupières qui sont pâles et blanches. Pour trouver le petit Mycoplasma suis la fixation de frottis sanguins avec du méthanol est utile avec leur coloration avec des produits classiques tels que la coloration de Giemsa. Il est fréquent que dans les infections Mycoplasma suis , le nombre de globules rouges soient très bas, environ 4,2 à 5,5 x 10 6 cellules par mm 3 de sang, par rapport aux valeurs de référence de 5,6 à 9,5 x 10 6 cellules par mm 3 . La maladie se manifeste sporadiquement dans des groupes de porcs, où les seringues et aiguilles sont partagées entre différents porcs. Cela peut servir à propager l'infection entre les groupes, par exemple des truies aux nullipares.
Un résumé tous les 15 jours des nouveautés de 3trois3.com
Connectez-vous et inscrivez-vous à la liste





















































































































