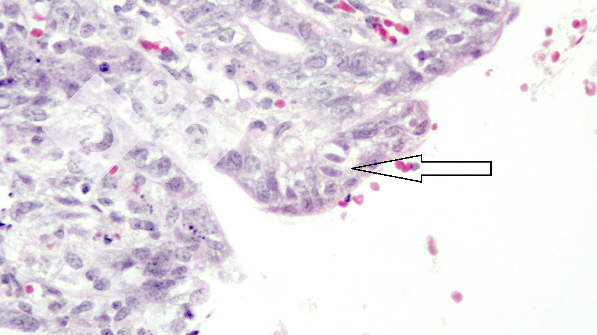
Semaine du 14-Mar-2022
Quels sont les organismes (flèche) dans la muqueuse de l'intestin grêle de ce porcelet avec diarrhée?
Photo de la semaine

Semaine du 03-Déc-2025
Quelle peut être l'étiologie de cette lésion ?

Semaine du 26-Nov-2025
Quel est le nom de cette lésion ?

Semaine du 19-Nov-2025
Quelle est cette lésion sur une truie reproductrice qui vient de mourir ?

Semaine du 12-Nov-2025
Quelle est la cause de cette lésion sur un porc de 12 semaines venant de mourir ?

Semaine du 05-Nov-2025
Quelle est la cause la plus probable de mortalité d'une portée entière ?

Semaine du 29-Oct-2025
A quoi ces lésions peuvent-elles êtres dues ?

Semaine du 22-Oct-2025
Quelle peut être la cause de cette lésion ?

Semaine du 15-Oct-2025
Cette image en coupe transversale d'un poumon de porc est caractéristique d'une pneumonie provoquée par:

Semaine du 08-Oct-2025
Dans l'étiologie de ce processus interviennent :

Semaine du 24-Sep-2025
Quelles sont les lésions observées sur ce poumon ?

Semaine du 17-Sep-2025
Toute la portée tremble. A quoi cela peut-il être dû ?

Semaine du 10-Sep-2025
Beaucoup de truies ont des abcès sur un côté du cou. Quelle peut en être la cause?

Semaine du 03-Sep-2025
Certains porcelets sont morts soudainement au cours des 4 premières semaines après le sevrage. À l'autopsie, ils avaient tous un œdème du mésocolon. Quelle est la cause la plus probable?

Semaine du 27-Aoû-2025
Cette truie gestante mord constamment la barre au-dessus du nourrisseur. A quoi cela est le plus probablement dû ?

Semaine du 20-Aoû-2025
Une épidémie de mort subite touche des porcs de 6 semaines. À l'autopsie, le sac péricardique est distendu et contient un liquide de couleur paille contenant des filaments de fibrine. Le cœur présente des zones de nécrose. Quelle est la cause probable ?

Semaine du 13-Aoû-2025
Cette lésion est due à une prolifération de :

Semaine du 06-Aoû-2025
La plupart des porcs de ce parc présentent des taches foncées sur la peau. Quelle pourrait en être la cause ?

Semaine du 30-Jul-2025
Lors de l'autopsie, une consolidation pulmonaire crânio-ventrale est détectée dans les poumons de porcs présentant une toux persistante associée à un manque d'appétit. Quelle est la cause la plus probable de cette lésion ?

Semaine du 23-Jul-2025
Nous observons des masses irrégulières et grumeleuses sur la muqueuse buccale de la lèvre inférieure d'un porcelet de deux semaines. Quelle est la cause la plus probable de cette lésion ?

Semaine du 16-Jul-2025
Nous avons trouvé dans le même bâtiment vingt cochettes présentant une salivation et une cyanose des parties inférieures du corps. Quelle est la cause de la mort ?

Semaine du 09-Jul-2025
On constate une augmentation de la mortalité par mort subite chez les porcs d'engraissement. Les porcs post mortem présentent des anses intestinales distendues par des gaz, une couleur pourpre intense et sont remplis de liquide contenant beaucoup de sang.

Semaine du 02-Jul-2025
Quelle lésion peut être observée sur l’image ?

Semaine du 25-Jun-2025
Quelle lésion peut être observée sur l’image ?

Semaine du 18-Jun-2025
Quelle est cette maladie ?

Semaine du 11-Jun-2025
Quelle est cette maladie métabolique des os ?

Semaine du 04-Jun-2025
Quelle lésion peut être observée sur cette image ?

Semaine du 28-Mai-2025
Une épidémie de morts subites et de toux s'est déclarée chez des porcs âgés de 10 semaines. Lors de l'examen post mortem, nous avons observé une pneumonie nécrosante avec un exsudat fibrinopurulent dans les cavités péritonéale et thoracique. Quelle est la