Le virus Getah (vGET), un alphavirus à ARN simple brin, a été isolé pour la première fois à partir de moustiques en Malaisie en 1950. Les moustiques étaient associés à une plantation de caoutchouc. Le virus a été nommé d'après le mot indonésien getah, qui signifie "caoutchouc", ou la sève de latex de l'arbre à caoutchouc. En 1978, un foyer de virus Getah au Japon a provoqué de la fièvre, des éruptions cutanées et un gonflement des jambes chez des chevaux de course. Le virus Getah est largement répandu en Asie et son incidence est variable, mais généralement assez faible, bien qu'elle ait augmenté ces dernières années.

Figure 1.Porcelet présentant une fièvre >40°C, une incoordination, des tremblements, une dépression et une diarrhée.

Notre premier cas observé de maladie getahvirale chez les porcs s'est produit dans un élevage de reproductrices de 2 000 truies dans le nord de la Chine au début de l'automne 2022. Des porcelets de plusieurs portées ont présenté une fièvre >40°C, une incoordination, des tremblements, une dépression, une diarrhée et sont morts (Figure 1). Tous les porcelets semblaient normaux à la naissance. Environ la moitié des porcelets des portées touchées sont tombés malades au cours des premiers jours de leur vie. La mortalité parmi les porcelets affectés d'une portée était presque de 100 % malgré les traitements, alors que les porcelets non affectés des mêmes portées grandissaient normalement et semblaient en bonne santé. La surmortalité (supérieure à la normale attendue) était d'environ 500 porcelets dans les quelque 100 portées sevrées touchées. Toutes les portées n'ont pas été touchées et les cas se sont limités à une seule maternité. La maladie ne semblait pas être contagieuse pour les porcelets sains. L'autopsie a révélé des poumons caoutchouteux (pneumonie interstitielle), des ganglions lymphatiques pulmonaires hémorragiques hypertrophiés et une encéphalite fibrinohémorragique (figure 2).

Figure 2 : Poumons caoutchouteux avec hypertrophie des ganglions lymphatiques pulmonaires hémorragiques.
La PCR s'est révélée négative pour le SDRP, la pseudorage (PRV, maladie d'Aujeszky), les circovirus porcins PCV2 et PCV3, la peste porcine classique (PPC) et la peste porcine africaine (PPA). L'exploitation était connue pour être indemne de SDRP, de PRV, de peste porcine classique et de peste porcine africaine avant cet événement. La PCR pour le Getahvirus dans les poumons des porcelets s'est révélée hautement positive. L'histopathologie a révélé une pneumonie interstitielle sévère (figure 3) et une méningo-encéphalite fibrinohémorragique (figure 4). La maladie périnatale à virus Getah a été diagnostiquée. L'élevage a été informé que cette maladie est principalement transmise par les moustiques et des mesures de contrôle ont été mises en œuvre. Il n'y a pas eu d'autres cas ou signes cliniques dans l'élevage et la production est revenue à la normale.

Figure 3 : La pneumonie interstitielle suggère une origine virale possible.

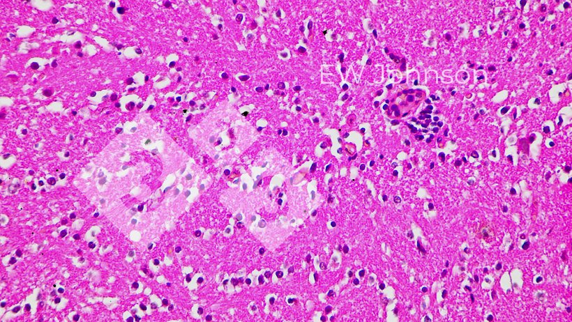
Figure 4 : Encéphalite avec vascularite, satellitose et neuronophagie.
En septembre-octobre 2022, un deuxième cas est apparu dans un élevage de 2400 truies dans le centre-est de la Chine. L'augmentation des avortements affectant 2 de ses 4 unités de reproduction a d'abord été considérée comme étant due au SDRP, bien que le statut de l'élevage soit positif mais stable. L'augmentation des avortements a duré plusieurs semaines, atteignant un pic d'environ 20 portées avortées par semaine, principalement entre 70 et 110 jours de gestation (Figure 5).

Figure 5 : Fœtus avortés
Des retours en chaleurs irréguliers ont également été observés. Certaines truies ont présenté une légère anorexie pendant un ou deux jours sans manger. La mortalité des truies était faible ou nulle et n'était pas remarquable. Aucun autre signe significatif n'a été observé. Le syndrome d'avortement tardif et de mise bas prématurée a fait du SDRPv le principal suspect. La PCR pour le SDRP s'est révélée négative, et les tests PCR répétés sur les fœtus avortés et les échantillons de sang des truies se sont révélés négatifs pour le SDRP, la PPC, le PCV2, le PCV3, le SDRP, la PPC et la PPA. La PCR dans les poumons et le liquide thoracique des fœtus avortés et dans le sang des truies avortées s'est révélée fortement positive pour le Getahvirus par rt-PCR. Une infection par Getahvirus a été diagnostiquée comme étant la cause de l'avortement. L'élevage a signalé une importante population de moustiques Culicoides qui piquaient les truies. Des mesures correctives ont été prises pour lutter contre les moustiques et le problème a été résolu.
Un troisième cas est survenu à la fin de l'automne 2022 dans un grand élevage de plusieurs milliers de truies dans le centre-nord de la Chine, avec une forte augmentation du nombre d'avortements. On a craint une "tempête d'avortements" imminente. L'exploitation en bonne santé était négative pour le PRV, la PPA, la PPC et le SDRP. La PCR du liquide thoracique et pulmonaire du fœtus était fortement positive pour le Getahvirus et négative pour d'autres maladies endémiques et transfrontalières, y compris le SDRP, la PPC, la PPA, le PRV, le PCV2 et le PCV3. Il n'y avait pas d'autres signes significatifs dans l'élevage et les avortements ont cessé avec le contrôle des moustiques et des mouches piqueuses et l'arrivée du froid annonçant la fin de la saison des arthropodes volants.
Devons-nous nous inquiéter du virus Getah ?
2022 a marqué notre première rencontre avec le virus Getah. Un employé de notre laboratoire l'a détecté pour la première fois par hasard en détectant une bande inconnue sur un gel PCR. Le séquençage de cette bande a révélé l'ADN complémentaire du virus Getah, qui a ensuite été vérifié dans les échantillons originaux à l'aide d'amorces conçues à cet effet.
"La diligence est la mère de la bonne fortune". - Cervantes
Nous nous estimons heureux que notre personnel identifie de telles choses et se sente en confiance pour s'exprimer librement dans son travail.
"La liberté, Sancho, est l'un des dons les plus précieux que le ciel ait offerts aux hommes. - Don Quichotte
Le virus Getahvirus a déjà été signalé chez des chevaux, des renards, des bovins et des porcs en Chine. Lors d'une étude récente en Chine, le virus Getahvirus a été détecté chez 3 % des moustiques et 1 % des porcs. Des cas de syndrome reproductif viral et de mortalité périnatale chez les porcs dus au Getahvirus ont été signalés, ainsi qu'une incidence assez élevée (~50% des porcs) du virus et des anticorps dans certaines régions et une absence totale dans d'autres. La maladie chez les chevaux au Japon a été suffisamment préoccupante pour justifier le développement d'un vaccin inactivé pour sa prévention. On a observé une forte mortalité chez les renards et des fièvres passagères chez les bovins dues au vGetah. Des cas humains ont été observés avec de la fièvre et une séroconversion au virus, mais on pense que l'infection est généralement asymptomatique. Il existe quatre types principaux de getahvirus, dont le type III est actuellement le plus important en Chine. Plusieurs genres différents de moustiques et de mouches piqueuses seraient capables de propager le virus. Expérimentalement, le virus peut être transmis par voie oro-nasale en utilisant des cultures cellulaires du virus, mais on pense actuellement que l'excrétion du virus est faible, de sorte qu'une dose infectieuse est rarement disponible pour provoquer des transmissions horizontales de porc à porc. Les cas observés jusqu'à présent dans les élevages confirment la théorie selon laquelle les arthropodes sont le principal vecteur du vGetah. La biosécurité interne des élevages et l'historique des cas font qu'il est peu probable que des seringues et des aiguilles contaminées aient propagé la maladie dans ces cas, mais il semble possible que des procédures de prélèvement sanguin inadéquates et la réutilisation d'aiguilles puissent devenir un facteur de transmission, étant donné qu'une virémie élevée a été observée chez les truies et les porcelets infectés.
Dans les régions où l'existence du vGetah est connue (Chine et Asie), il devrait être inclus dans le diagnostic différentiel des problèmes de reproduction et de mortalité périnatale, au même titre que les "suspects habituels", c'est-à-dire l'encéphalite japonaise B, le parvovirus porcin, le PRV, le SDRP, la peste porcine classique, la peste porcine africaine, le PCV2/3, le stress thermique, une mauvaise conduite d'élevage, l'infertilité saisonnière, etc. et leurs interactions. Les élevages de porcs sont souvent situés dans des zones isolées où les populations naturelles de moustiques et de mouches piqueuses sont importantes. Les fosses à lisier et les eaux stagnantes autour des élevages peuvent favoriser la reproduction des moustiques. L'encéphalite japonaise B est un flavovirus transmis par les moustiques qui provoque un syndrome reproductif viral chez les cochettes et les truies non exposées auparavant et peut également provoquer une dégénérescence testiculaire grave (orchite) chez les verrats. La plupart des élevages de porcs en Chine et en Asie sont vaccinés contre l'encéphalite japonaise B et le parvovirus, ce qui permet généralement d'éviter les graves séquelles reproductives qu'ils entraînent. Un vaccin trivalent contre le Getahvirus, le Parvovirus et les multiples souches de l'encéphalite japonaise pourrait s'avérer nécessaire à l'avenir.



































