La diarrhée chez les porcs d’engraissement est un problème courant dans les exploitations commerciales et limite significativement la performance et la rentabilité de la production porcine mondiale. Les troubles intestinaux chez les porcs de 4 semaines d’âge peuvent être produits par différents agents infectieux, comme le rotavirus, le coronavirus, Escherichia coli, Brachyspira spp, Salmonella spp, Yersinia spp, Lawsonia intracellularis, Oesophagostomum dentatum et Trichuris suis, entre autres. De ce fait, la plupart des cas qui présentent de la diarrhée post-sevrage et de la colite sont dus à des étiologies concurrentes ainsi qu’à leur interaction avec l’aliment, l’eau et d’autres facteurs environnementaux.
Le circovirus porcin de type 2 (PCV2), agent responsable essentiel de la maladie systémique associée au PCV2 (PCV2-SD) et de l’infection subclinique associée au PCV2 (PCV2-SI) est considéré comme un pathogène systémique. Cependant, récemment on a émis l’idée qu’il est capable de produire de la diarrhée chez les porcs et on a proposé la maladie entérique associée au PCV2 (PCV2-ED) comme une entité séparée à l’intérieur des maladies associées au circovirus porcin (PCVDs). Sa définition comprend : a) les porcs qui souffrent de diarrhée, b) une entérite granulomateuse et une déplétion des lymphocytes que l’on observe au microscope sur les plaques de Peyer mais non dans d’autres tissus lymphoïdes et c) des quantités, modérées à élevées, de PCV2 détectées dans la muqueuse intestinale ou les plaques de Peyer, sans détection sur d’autres tissus systémiques.

Afin d’éclaircir la véritable incidence du PCV2-ED, on a réalisé une étude afin de rechercher la prévalence de l’infection par le PCV2 sur les porcs d’engraissement avec de la diarrhée en Espagne et pour évaluer la possible coexistence entre le PCV-ED et le PCV2-SD. L’étude a été réalisée avec 96 porcs qui souffraient de diarrhée et que l’on a envoyés au Service de Diagnostic de Pathologie Vétérinaire, à la Faculté Vétérinaire de l’Université Autonome de Barcelone (Espagne) pour une autopsie complète et des analyses de laboratoire. Les échantillons envoyés (figure 1) correspondaient à la période 1998-2011 et comprenaient seulement des porcs non vaccinés au PCV2. Les lésions entériques les plus prédominantes ont été l’entérite/colite catarrhale (77,1%), des lésions fibrineuses (11,5%) et granulomateuses (4,2%); d’autres lésions ont aussi été observées comme des hémorragies ou des ulcérations (4,2%). 72 porcs (75%) ont été positifs au PCV2 par ISH, on a confirmé que 39 animaux souffraient de PCV2-SD et 33 n’avaient pas de lésions lymphoïdes significatives mais une faible quantité d’acides nucléiques viraux dans plusieurs tissus lymphoïdes. En conséquence, ces derniers ont montré l’existence d’une infection par le PCV2 systémique et donc non déclarés comme PCVD-ED. De ce fait, l’interprétation pathologique de la faible quantité de PCV2 dans différents ganglions lymphoïdes systémiques sans lésions histologiques significatives a 3 possibilités :
- PCV2-SI
- Phase initiale d’un PCV2-SD postérieur
- Phase de récupération du PCV2-SD

Figure 1 : Diagramme de flux qui décrit la sélection et les critères diagnostiques des porcs infectés avec du PCV2 inclus dans cette étude. Le PCV2, circovirus porcin de type 2 ; PCV2-SD, maladie systémique associée au PCV2 ; PCV2-ED, maladie entérique associée au PCV2
En conclusion, les résultats obtenus dans cette étude (figure 1) ont montré que le PCV2-ED est probablement une condition insignifiante et que le PCV2 contribue principalement aux troubles cliniques entériques en relation avec l’incidence de PCV2-SD.
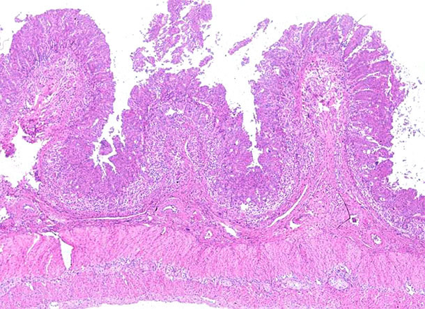
Il convient de souligner que l’on trouvait fréquemment les problèmes entériques dans les élevages affectés par le PCV2-SD. Cependant, le mécanisme exact par lequel ces animaux malades avaient de la diarrhée n’était pas clair. D’une part, l’immunosuppression systémique liée au PCV2-SD serait l’une des raisons principales pour déclencher l’effet des pathogènes entériques existants dans l’élevage, qui peuvent ne pas s’exprimer à moins que le système immunitaire soit compromis. D’autre part, le résultat pathologique du PCV-SD sur une partie des animaux comprend un niveau variable d’entérite granulomateuse (photos 1 et 2) qui entraînerait de la diarrhée due à l’altération de la perméabilité de la barrière intestinale. Dans ce scénario, l’arrivée des vaccins PCV2 a entraîné à une diminution radicale des porcs et des élevages qui présentaient des signes cliniques et des lésions de PCV2-SD et, par conséquent, la concomitance de l’infection virale avec d’autres pathogènes entérique a significativement diminué.

Photo 1 : Iléon. Déplétion marquée des lymphocytes et inflammation granulomateuse des plaques de Peyer dans l’iléon d’un porc atteint par la maladie systémique associée au PCV2. Coloration à l’hématoxyline et à l’éosine.

Photo 2 : Iléon. Le même iléon du porc atteint par la maladie systémique associée au PCV2 présente une grande quantité de génome de PCV2 sur les plaques de Peyer et dans la muqueuse intestinale. Hybridation in situ pour détecter le PCV2 ; colorant de contraste vert rapide
A cause de la vaccination, aujourd’hui, la forme plus courante de PCV2 est le PCV2-SI, où les lésions et les signes cliniques systémiques et digestifs causés par le virus sont minimes. En conséquence quand les problèmes de diarrhée sont présents à un âge pour lequel le PCV2-SI peut se produire, il est très probable que des infections concurrentes se produisent avec des pathogènes entériques et que ceux-ci soient les principaux contributeurs au problème clinique. Par conséquent, il est très important d’utiliser les outils diagnostiques disponibles afin de déterminer le poids spécifique de chaque pathogène dans cette maladie entérique. Les examens pathologiques (macroscopiques et histopathologiques) peuvent être d’une grande aide pour essayer d’évaluer ces cas.

