
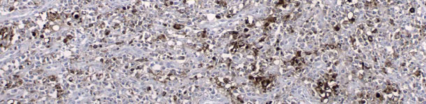
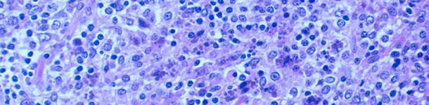
Importance de l'histopathologie dans le diagnostic chez le porc
L'histopathologie peut fournir un cadre solide pour établir la cause exacte d'un problème clinique.

L'histopathologie peut fournir un cadre solide pour établir la cause exacte d'un problème clinique.

La détection des lésions pulmonaires à l'abattoir permet également d'estimer les pertes économiques.

En fonction des niveaux d'immunité maternelle, une interférence avec le vaccin peut se produire, compromettant la séroconversion et l'efficacité du vaccin.

La collecte de données à l'abattoir est une méthode courante pour obtenir des informations sur la santé et la productivité, principalement sur les dernières semaines de la vie du porc.

Là où nous trouvons plus de preuves du rôle possible du PCV-3, c'est dans certains problèmes de reproduction.

La fréquence des problèmes graves avec le génotype a était bien inférieure à celle avec le génotype b. Pourquoi la fréquence de ces génotypes a-t-elle changé ?

Ces dernières années, depuis que le vaccin contre le PCV-2 a semblé résoudre l'énorme problème généré par la circovirose, qu'est-ce qui, selon vous, a changé et comment cela affecte-t-il les élevages ?

Les poids moyens des porcelets à la mise-bas dans les 3 groupes de truies vaccinées étaient statistiquement plus élevés que ceux des truies non vaccinées.

Tous les vaccins disponibles sur les marchés européens et nord-américains sont basés sur le génotype PCV2a, bien que ce soient les PCV2b et PCV2d les plus répandus. Bien qu'on ait montré un niveau significatif de protection croisée entre ces trois génotypes il serait intéressant d'évaluer si l'efficacité du vaccin est équivalente contre tous ces génotypes.

Cet article explique les facteurs à prendre en compte pour déterminer le moment optimum de la vaccination contre le PCV2 et montre les résultats d'une étude qui mesure l'efficacité de différents programmes vaccinaux dans un élevage avec une infection subclinique.

Récemment on a émis l’idée que le PCV2 est capable de produire de la diarrhée chez les porcs et on a proposé la maladie entérique associée au PCV2 (PCV2-ED) comme une entité séparée à l’intérieur des maladies associées au circovirus porcin (PCVDs).

Dans le scénario étudié, les pertes occasionnées par une croissance plus faible atteignent 13,1 et 7,5 €/tête pour les porcs avec, respectivement, une charge de PCV2 haute et moyenne.

Le PCV2 ayant une grande résistance dans l'environnement et de fortes capacités de transmission, il n'est pas surprenant qu'il ait une distribution ubiquiste.

Il se peut qu'il y ait actuellement un certain doute sur les effets bénéfiques du vaccin contre le PCV2, tant sur l'aspect clinique qu'économique dans les infections subcliniques sur les porcelets, mais… quel est le rôle de la truie ? Est-il possible que la vaccination puisse avoir des effets positifs sur l'infection subclinique des truies ?

L'infection expérimentale par Mhyo et le PCV2 a donné de résultats quelque peu divergents.

Nouveautés sur les voies d'excrétion, les modes de transmission, les facteurs de risque et la raison pour laquelle le PCV2 devient un pathogène.
Bienvenue sur 3trois3
Connecte-toi, échange et contacte la plus large communauté de professionnels de la filière porcine.
Nous sommes déjà 195595 Utilisateurs
inscrivez-vousDéjà membre ?