Il existe trois groupes principaux de rotavirus qui provoquent des diarrhées chez les porcs : Rotavirus A, Rotavirus B et Rotavirus C. Chaque groupe de virus est différent des autres et nécessite des tests spécifiques. La diarrhée chez les porcs implique souvent des infections par plusieurs groupes de rotavirus en même temps.
Tests disponibles :
Pathologie macroscopique

- Recherche d'un amincissement de la paroi de l'intestin grêle pouvant suggérer une maladie.
- Localisation des lésions : jéjunum et iléon.
- Avantages :
- Résultats rapides et peu coûteux.
- Applicable aux trois groupes de rotavirus.
- Inconvénients :
- Non diagnostique - des lésions similaires peuvent être observées dans le cas d'autres maladies, en particulier les infections à coronavirus (gastro-entérite transmissible, diarrhée épidémique porcine et delta coronavirus porcin).
- Nécessite des tissus frais (<15 min) car la décomposition modifie radicalement l'aspect de l'intestin grêle.
- Ne permet pas de distinguer les différents groupes de rotavirus

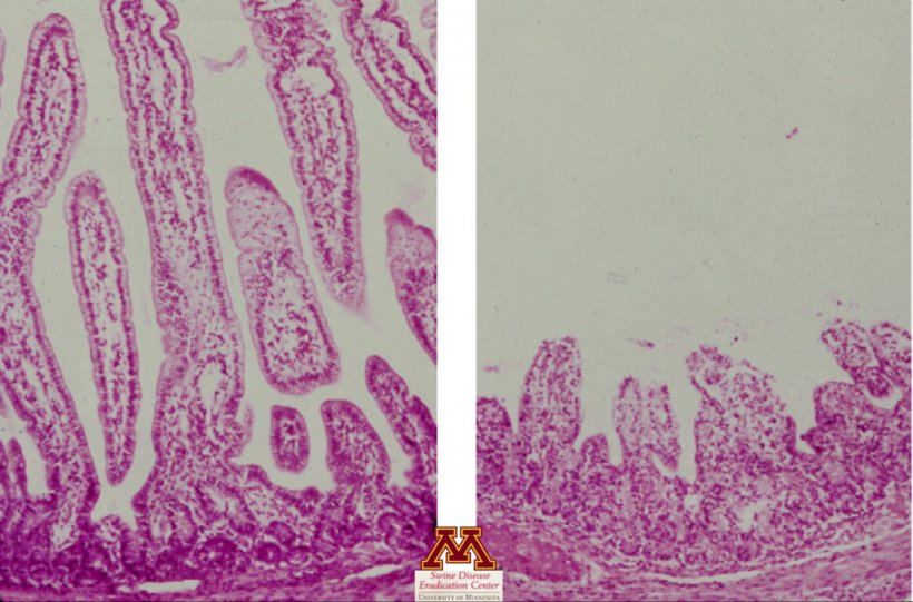
Atrophie des villosités causée par le rotavirus. Photo tirée de Swine Diseases par Perle Zhitnitskiy, DVM, MSpVM. Source : Dr : Dr. Carlos Pijoan https://creativecommons.org/licenses/by-nc/4.0/
Histopathologie
- Évalue la présence de lésions des tissus (atrophie des villosités dans l'intestin grêle) qui peuvent fortement suggérer la présence de la maladie.
- Types d'échantillons : tissu du jéjunum et de l'iléon.
- Avantages :
- Confirme l'atrophie des villosités suggérant une entérite virale.
- Inconvénients :
- La fixation au formol des tissus intestinaux est nécessaire dans les 15 minutes suivant la mort de l'animal. Le tissu intestinal se décompose rapidement
Immunohistochimie (IHC)
- Détecte la présence de l'antigène viral.
- Types d'échantillons : tissu du jéjunum et de l'iléon.
- Avantages :
- Diagnostic définitif : peut confirmer la présence du virus avec les lésions associées.
- Inconvénients :
- Actuellement disponible uniquement pour le Rotavirus A et le Rotavirus C (non disponible pour le Rotavirus B).
Polymerase chain reaction (PCR)
- Détecte la présence d'une séquence spécifique de l'acide nucléique viral (ARN).
- Types d'échantillons : tissus intestinaux du jéjunum et de l'iléon, écouvillons fécaux, matières fécales.
- Avantages :
- La PCR multiplex peut détecter différents groupes de rotavirus, y compris le Rotavirus A, le Rotavirus B et le Rotavirus C.
- Sensibilité élevée.
- Quantification par PCR
- Coût modéré
- Les échantillons de matières fécales ou de tissus peuvent souvent être regroupés pour réduire les coûts et minimiser la perte de sensibilité (en particulier pour la pertinence clinique).
- Inconvénients
- Sensibilité élevée - peut confirmer la présence du virus mais pas la maladie (forte prévalence du virus dans l'environnement).
Isolement du virus
- Isolement du virus vivant.
- Types d'échantillons : tissus intestinaux du jéjunum et de l'iléon, écouvillons fécaux, matières fécales.
- Avantages :
- Isolement du virus pour le développement de vaccins (autovaccins).
- Inconvénients :
- Coûteux
- Résultats lents
- N'est actuellement disponible que pour le Rotavirus A et non pour le Rotavirus B ou le Rotavirus C
- Souvent difficile à cultiver (nombreux faux négatifs)
- La manipulation des échantillons entre le terrain et le laboratoire peut affecter la survie du virus.
Test d'immuno-absorption enzymatique (ELISA)
- Détecte la présence d'anticorps.
- Types d'échantillons : sérum.
- Avantages :
- Les animaux restent positifs pendant plusieurs semaines
- Permet d'identifier les élevages négatifs.
- Inconvénients :
- La forte prévalence du virus dans l'environnement entraîne une exposition commune chez la plupart des porcs.
- Nécessité d'un test spécifique pour chaque groupe de rotavirus
- Pas de protection croisée entre les différents groupes de rotavirus.
Tableau 1. Résumé des tests applicables aux différents groupes de rotavirus.
| Rotavirus A | Rotavirus B | Rotavirus C | Permet de différencier les groupes ? | |
|---|---|---|---|---|
| Pathologie macroscopique | Oui | Oui | Oui | Non |
| Histopatologíie | Oui | Oui | Oui | Non |
| Inmunohistochimie (IHC) | Oui | Non | Oui | Oui |
| Polymerase Chain Reaction (PCR) | Oui | Oui | Oui | Oui |
| Isolement du virus | Oui | Non | Non | Non |
| Test d'immuno-absorption enzymatique (ELISA) | Oui | Non | Non | Non |
Interprétation des résultats :
Pathologie macroscopique
- Positive : confirmation préliminaire de la présence d'un amincissement de l'intestin.
- Négatif : les cas précoces ou légers peuvent ne pas présenter de lésions intestinales étendues.
Histopathologie
- Positive : confirmation de la maladie, mais pas de sa cause.
- Négative : les lésions ne sont pas détectées si le prélèvement est incorrect ou s'il a lieu longtemps après l'infection.
IHC
- Positive : le virus est présent sur le site de la lésion.
- Négatif : Négatif ou le virus n'est pas détecté si le test est effectué trop longtemps après l'infection ou si la concentration du virus est trop faible (présent seulement pendant une courte période).
PCR
- Positive : Confirmation de la présence des différents groupes de rotavirus (A, B et C).
- Négatif : le virus n'est pas détecté si le test est effectué longtemps après l'infection ou en raison d'une sélection ou d'une manipulation incorrecte de l'échantillon.
Isolement du virus
- Positif : confirmation de la présence du virus, mais pas de maladie.
- Négatif : le virus n'est pas détecté si le test est effectué longtemps après l'infection ou ne peut tout simplement pas se développer en raison d'une autre contamination ou d'une mauvaise manipulation (présent mais très difficile à cultiver). Ne détecte pas le Rotavirus B ou le Rotavirus C.
ELISA

- Positive : exposition antérieure (> 2-4 semaines) au vaccin ou au virus de terrain. Pas d'association entre la positivité et la maladie.
- Négative :
- Négatif au vaccin ou au virus de terrain.
- Infection trop récente pour être détectée
Scénarios :
Porcelets nouveau-nés atteints de diarrhée (aiguë ou chronique)
- Prélever des échantillons de matières fécales sur au moins 10 porcs non traités atteints de diarrhée et les envoyer pour un test PCR de détection du rotavirus A, du rotavirus B et du rotavirus C par pools de 5.
- Procéder à une nécropsie de 1 à 3 porcs morts récemment ou euthanasier des porcs atteints de diarrhée. Évaluer macroscopiquement le jéjunum et l'iléon pour détecter un amincissement de la paroi intestinale. Prélever des échantillons et les fixer dans du formol pour l'histopathologie et l'IHC.
Porcelets récemment sevrés atteints de diarrhée (aiguë ou chronique)
- Prélever des échantillons de matières fécales sur au moins 10 porcelets non traités atteints de diarrhée et les envoyer pour analyse PCR afin de détecter les rotavirus A, B et C par pools de 5.
- Procéder à une nécropsie de 1 à 3 porcs morts récemment ou euthanasier des porcs atteints de diarrhée. Évaluer macroscopiquement le jéjunum et l'iléon à la recherche d'un amincissement de la paroi intestinale. Prélever des échantillons et les fixer dans du formol pour l'histopathologie et l'IHC.


















