Signes clinique du SDRP
Le virus du SDRP entraîne une infection systémique chez les porcs atteints avec une présentation clinique similaire à tous les âges, bien que les conséquences puissent varier selon l’âge. Les signes cliniques, quand ils sont apparents, varient et sont influencés par :

- La virulence du virus,
- L’immunité préexistante induite par une infection ou une vaccination préalable,
- La présence d’autre(s) pathogène (s) dans la population,
- La taille de l’élevage et les pratiques de conduite.
De plus, les infections subcliniques ne sont pas rares (par exemple les porteurs chroniques).
Les signes cliniques les plus fréquents que l’on observe dans l’infection par le SDRP, indépendamment de l’âge, sont l’anorexie, fièvre, la léthargie, la dépression et les problèmes respiratoires. Dans certains épisodes, on a observé des vomissements et une légère cyanose des oreilles, de l’abdomen et de la vulve. Dans certains cas (par exemple le SDRP hautement pathogène) on peut observer de la cyanose sévère et diffuse. Dans les élevages de truies reproductrices, une diminution du nombre de truies qui ou qui mettent bas est le signe le plus évident de SDRP. Lors d’épisodes de SDRP, il se produit normalement une augmentation de mises-bas prématurées, des avortements tardifs et des porcelets mort-nés ou chétifs. On a aussi observé une augmentation des fœtus momifiés. Le taux de mortalité pré-sevrage augmente de manière significative dans les élevages atteints. Les porcs sevrés peuvent présenter une respiration abdominale (c’est-à-dire de la dyspnée). Une diarrhée soudaine chez les porcelets nouveau-nés peut être un signe clinique notable dans les élevages non exposés au SDRP, si aucun des pathogènes entériques connus n’est impliqué. La période des problèmes de reproduction varie en fonction de la taille de l’élevage mais dure en général entre 2 et 3 mois suivie d’une lente amélioration de la performance de la reproduction. Dans les grands élevages, les signes de la maladie peuvent être cycliques, particulièrement si on continue à introduire dans l’élevage des truies ou des primipares non exposées, ce qui peut générer des sous-populations avec une immunité différente. Il est aussi possible que l’élevage soit exposé en même temps ou successivement à de multiples souches hétérologues de SDRP, ce qui ne donne pas de protection croisée complète et conduit à une infection cyclique et à des épisodes. Les verrats atteints peuvent présenter une perte de libido et une diminution de la qualité de la semence, en plus des signes cliniques semblables à ceux des truies atteintes. Chez les jeunes porcs et ceux en croissance, les principales manifestations cliniques sont de la pneumonie et un retard de croissance. Cliniquement, après une période d’éternuements, de fièvre et de léthargie, apparaît une dyspnée respiratoire (c’est-à-dire respiration abdominale) et un retard de croissance. Souvent, la mortalité post-sevrage augmente notablement dans les élevages atteints. La prévalence de la maladie respiratoire associée au SDRP est plus importante chez les porcs de 4 à 10 semaines d’âge ; cependant, les infections avec des souches hétérologues peuvent aussi conduire à des épisodes prolongés ou répétitifs de maladies respiratoires dans les élevages de croissance/finition. Une plainte fréquente dans les élevages touchés par le SDRP est l’augmentation du taux des infections secondaires.
Diagnostic de laboratoire du SDRP
Les signes cliniques, (voir ci-dessus) accompagnés de lésions macroscopiques évidentes et l’historique clinique font souvent suspecter le SDRP, particulièrement dans les épisodes aigus. Les lésions microscopiques caractéristiques dans les poumons ou d’autres tissus (figure 2) sont aussi évocatrices de lésions de SDRP mais non pathognomoniques. Tout diagnostic clinique provisoire doit être confirmé par la détection de SDRPv (c’est-à-dire du virus, des antigènes viraux et/ou du matériel génomique viral) sur les porcs atteints en utilisant des méthodes de laboratoire, conjointement avec les lésions typiques. L’immunohistochimie est beaucoup utilisée dans les tissus conservés dans du formol pour détecter la présence de l’antigène viral à l’intérieur des lésions, cependant, la PCR est la principale technique de laboratoire pour détecter la présence du SDRPv sur une large variété de prélèvements cliniques. La sérologie fournit une mise en évidence indirecte de l’infection ou de l’exposition au SDRPv mais ne détermine pas si la maladie est causée par le virus. Le double prélèvement d’échantillons de sang sur un intervalle de 2 à 3 semaines peut être utile pour déterminer si l’infection par le SDRPv est en relation avec le problème clinique. Une série de prélèvements de sang aux différents stades de production peut être utile pour déterminer l’âge auquel les animaux sont généralement infectés par le SDRPv dans un élevage.

Figure 1 : aspect macroscopique d’un poumon gravement atteint par le SDRPv. Il est gonflé avec des tâches et foncé..
(Photo aimablement fournie par Dr. Greg Stevenson de la Iowa State University)
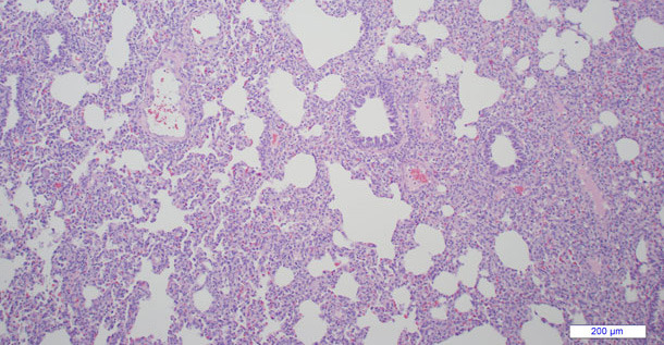
La découverte la plus courante dans la maladie respiratoire due au SDRP est la lésion pulmonaire interstitielle mais sa répartition peut varier, de multifocale à lobulaire ou diffuse. Macroscopiquement, les poumons des porcs touchés présentent des tâches foncées qui varient dans leur extension (figure 1). Les ganglions sont généralement gonflés, foncés et œdémateux ou kystiques. Microscopiquement, on observe une pneumonie interstitielle non suppurative (figure 2). De plus, chez les porcs atteints, on peut observer de la myocardite, de la rhinite et/ou de l’encéphalite non suppurative légère sur les porcs atteints. Chez les truies avec une infection aigue de SDRP on a observé des lésions dans le placenta, de l’endométrite et de la myométrite On n’observe généralement pas de lésions sur la plupart des fœtus avortés et des mort-nés atteints seulement de SDRP. S’ils en ont, on a observé les suivantes :
- Hémorragie et artérite du cordon ombilical,
- Poumons légèrement endurcis avec une répartition irrégulière (pneumonie interstitielle)
- Ganglions lymphatiques hypertrophiés
- Hémorragie de la peau
- Œdème sur les paupières, du tissu péri-orbitaire, du mésentère du côlon et de plusieurs cavités du corps.
- Déshydratation qui met en évidence la colonne vertébrale.

Figure 2 : Microphotographie de pneumonie interstitielle sur un poumon atteint par le SDRPv. Les sept alvéoles sont dilatées et l’espace interstitiel est rempli de plusieurs cellules inflammatoires..
(Photo aimablement fournie par Dr. Greg Stevenson de la Iowa State University)
La détection du SDRPv chez les porcs malades est mieux réalisée pendant la première étape (étape aigüe) de l’infection. On obtient les prélèvements adéquats à partir de nouveau-nés chétifs qui n’ont pas allaités, d’allaitants cliniquement atteints (fébriles et avec une respiration abdominale), et/ou de porcs sevrés et adultes (par exemple les truies) fébriles et anorexiques.
Les meilleurs prélèvements cliniques pour la détection du virus chez les porcs de façon individuelle sont le sang, le poumon, le lavage broncho-alvéolaire (BAL), les ganglions, les amygdales et la rate. La salive est un excellent échantillon pour déterminer la présence du virus dans une population (c’est-à-dire la surveillance). En cas de problèmes de reproduction, les porcelets avortés ou mort-nés peuvent être utilisés pour le diagnostic de l’infection par le SDRPv par un test basé sur la PCR sur les fluides corporels ou le thymus mais il donne fréquemment un résultat négatif à cause du temps de l’échantillon (c’est-à-dire l’étape de l’infection) ou de la qualité de l’échantillon (par exemple l’autolyse). La précision du diagnostic peut être améliorée par l’inclusion d’échantillons de truies dans le test. Les truies malades de façon aigue au moment de l’avortement peuvent avoir le virus dans le sang et par conséquent on peut le détecter par des tests de laboratoire. Les truies qui ne sont pas malades au moment de l’avortement, en général ne sont pas virémiques mais peuvent avoir des niveaux élevés d’anticorps dans le sang.
Le diagnostic différentiel de la maladie respiratoire comprend : le virus de la grippe influenza A, le circovirus porcin de type 2, le coronavirus respiratoire porcin, le virus de l’Aujeszky, Mycoplasma hyopneumoniae, Actinobacillus pleuropneumoniae, Streptococcus suis, Salmonella choleraesuis, Haemophilus parasuis, et Pasteurella multocida. Dans les problèmes de reproduction, le diagnostic différentiel comprend : le parvovirus porcin, le virus de la grippe A, l’entérovirus/teschovirus porcin, le virus de l’Aujeszky, le virus de la peste porcine classique, le cytomégalovirus porcin et la leptospirose.





