Page 6 sur Articles sur vaccin

Transmission, contrôle et prévention du SDRP
Etant donné qu’on peut considérer que l’infection par le virus du SDRP est commune dans les zones à forte densité de porcs (comme nous l’avons vu dans un article précédent) il est très fréquent de penser que, dans ces cas, la biosécurité ne peut guère suffire. Il faut cependant mettre en place une bonne biosécurité pour éviter l'entrée de nouvelles souches.
Union Européenne : en 2014, l'EMA a recommandé vingt nouveaux médicaments pour animaux

Infections par Escherichia coli chez le porc (2 de 2)
La colibacillose post-sevrage et maladie de l’œdème sont des infections courantes chez les porcs dans le monde entier. Ces souches d’E.coli semblent « faire partie » de la plupart des élevages porcins, par conséquent, pour l’instant, l’élimination n’est pas une option. La vaccination des truies ou des primipares avec des vaccins contre l’ETEC n’a aucun effet sur les infections dues à E. coli post-sevrage.

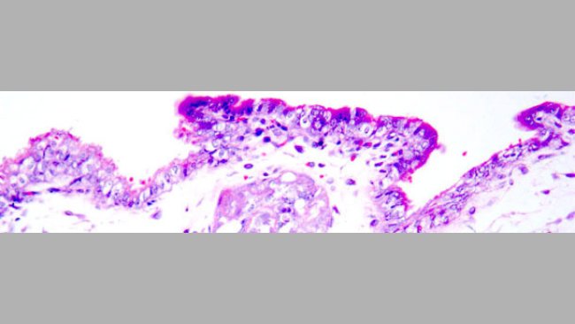
Vaccins et évolution du PCV2
Différents variants de PCV2 circulent dans les élevages porcins commerciaux. Comment l'immunité induite par le vaccin affecte l'évolution du PCV2 ?

Gestion du Planning (II)
On notera sur le planning les dates de la première et de la seconde échographie ainsi que le jour du transfert en case collective....

La vaccination contre le PCV2 réduit la consommation d’antibiotiques en élevage porcin
L'effet bénéfique des antibiotiques est très net lorsque les élevages sont multicontaminés, mais l’entretien d’une bonne immunité contre le PCV2 réduit aussi la consommation d’antibiotique dans les élevages de haut statut sanitaire.

DTH: Une nouvelle option pour vérifier l'observance de la vaccination contre le PCV2
Un test qui permet de vérifier la réalisation et/ou la qualité de la vaccination dans des cas comme l'entrée en engraissement.

Cas clinique: Problèmes respiratoires et de reproduction dans un élevage de porcs
Après l’évaluation clinique et sérologique, on décide de vacciner contre le SDRP, ce qui permet une amélioration sanitaire de l’élevage. Quelques mois après une toux sévère apparait en engraissement puis en post-sevrage et aussi chez les truies.

Echecs vaccinaux dans le contrôle du PCV2
L'incidence des maladies associées au PCV est associée à une mauvaise conduite des vaccins contre le PCV2 au niveau de l'élevage, qui généralement déclenche de hauts niveaux de PCV2 et de signes cliniques associés chez les porcs.

Nouveaux variants de PCV2 (PCV2 mutants): les vaccins actuels fonctionnent-ils ?
En 2012 aux USA sont apparus des variants ou mutants de PCV (mPCV2) souvent associés à des troubles cliniques. Le manque possible de protection croisée des vaccins commerciaux contre le PCV2 est maintenant une des principales préoccupations.

Modélisation de la dynamique d'infection par le PCV2 en naissage-engraissement
On a observé que la diminution du mélange de porcelets en lactation et en PS retardait le processus infectieux, en réduisant le nombre d'infections précoces. Le regroupement de porcelets par portée dans de petites unités après le sevrage a diminué aussi significativement la probabilité d'une infection précoce.

Cas clinique: Le facteur humain comme cause de rouget
Bien qu'il soient vaccinés contre Erysipelothrix rhusiopathiae, on voit apparaître des animaux morts ou malades avec des lésions typiques rouges et en forme de diamant sur la peau

PCV2 : Rentabilité des interventions en santé animale pendant l'engraissement
Ce qui augmente le plus la rentabilité d'un élevage n'est pas la minimisation des coûts mais la maximisation ds recettes.

IA de nullipares avec de la semence contaminée en PCV2. Protection des nullipares par vaccination PCV2
La vaccination des cochettes contre le PCV2 avant l'insémination par de la semence infectée en PCV2 diminue clairement la charge et l'excrétion virale, jusqu'à des valeurs compatibles avec la protection des foetus.

Propriétés du virus PCV2 et leurs implications
Le PCV2 ayant une grande résistance dans l'environnement et de fortes capacités de transmission, il n'est pas surprenant qu'il ait une distribution ubiquiste.