La peste porcine africaine (PPA) est une maladie virale grave qui touche les porcs de tous âges. Ces dernières années, elle a dévasté l'industrie porcine dans de nombreux pays. En réalité, la peste porcine africaine se propage assez lentement et il est possible de réduire sa propagation géographique par des actions appropriées. Un diagnostic définitif et précoce est un élément clé pour éviter sa propagation. Un premier diagnostic de terrain de la PPA peut être établi sur la base des signes cliniques et des résultats de l'autopsie.
Signes cliniques :

Dans la phase initiale de la maladie, les animaux sont souvent retrouvés morts de manière hyperaiguë, avec une cyanose des pattes, des oreilles et des membres. On observe souvent une forte fièvre (40 - 42°C), des vomissements, une diarrhée qui peut être sanglante ou noire (photo 1, droite), une dépression, des avortements (photo 1, gauche), un écoulement nasal sanglant (épistaxis) et une augmentation des pertes de mortalité.

Les souches faiblement virulentes (ou vaccinales) provoquent une forme atypique légère et chronique de la maladie, avec peu de mortalité. Les femelles présentent généralement une maladie respiratoire chronique et une infertilité chronique. Le processus plus long pour présenter des signes de la maladie, ou l'absence de signes cliniques observés chez les porcs atteints du virus vaccinal chronique, est souvent interprété dans les élevages comme une longue période d'incubation.
Lésions à l'autopsie
- L'épiglotte et la trachée peuvent être rougies et il existe généralement une pneumonie interstitielle avec un œdème interlobulaire. Il existe parfois une pleuropneumonie fibronécrotique rappelant l'App.
- Il peut y avoir une myocardite fibrineuse et une péricardite et le thorax et l'abdomen peuvent présenter une quantité excessive de liquide sanguinolent ou sérosanguinolent.
- Les ganglions mésentériques et surtout gastro-hépatiques peuvent être hypertrophiés, œdémateux et apparaître nécro-hémorragiques sur la coupe (photo 2).
- La rate peut être hypertrophiée, avec de multiples infarctus, ou être fondamentalement normale.
- Le foie présente souvent des hémorragies manifestes.
- Les reins peuvent présenter de nombreux infarctus et des hémorragies pétéchiales et ecchymotiques (photo 3). Il peut y avoir un œdème perirénal frappant. L'estomac fundique est souvent sévèrement érodé et le côlon spirale peut être rempli d'un contenu sanglant. Il n'est pas rare de trouver des hémorragies en forme de coup de pinceau sur les viscères abdominaux.
- Une méningite fibrineuse peut être mise en évidence dans le cerveau.


La gravité des lésions est variable d'un animal à l'autre et il est généralement suggéré de procéder à l'autopsie de plusieurs porcs.
La nécropsie doit être pratiquée dans un souci professionnel de biosécurité, bien qu'elle ne présente aucun risque spécifique dans un élevage déjà infecté et qu'elle fournisse des informations précieuses qui ne peuvent être obtenues par des approches diagnostiques moins agressives.
Techniques de laboratoire
PCR : Le diagnostic de la PPA est généralement vérifié par un test d'acide nucléique positif et par l'exclusion d'autres causes communes de lésions similaires. Le plus courant est la PCR pour le gène P72. Le poumon (échantillon préféré dans notre laboratoire), le rein, la rate, les ganglions lymphatiques, le sérum et le sang sont tous d'excellents échantillons pour la PCR. Les écouvillons et les fluides oraux sont extrêmement populaires, mais la quantité de virus est inférieure de plusieurs logarithmes à celle que l'on trouve habituellement dans le sang et les tissus, de sorte que les faux négatifs sont assez fréquents. La qPCR par fluorescence et la PCR conventionnelle sont utilisées. La PCR conventionnelle offre une voie commode pour le séquençage génétique.
Lorsqu'un vaccin à gène délété est délibérément utilisé ou que la souche du virus de la peste porcine africaine à gène délété a été accidentellement introduite, les tests d'acide nucléique peuvent échouer chez certains animaux car la quantité de virus produite est beaucoup plus faible que celle du virus de terrain. Toutefois, lorsque des échantillons de tissus ou de sang appropriés sont disponibles, il est possible de procéder à une analyse des acides nucléiques pour détecter les gènes délétés du virus vaccinal. Si un résultat positif est obtenu pour le gène P72, une PCR pour le vaccin avec le gène délété peut être effectuée pour rechercher la présence d'ADN MGF 360-505 R et CD2v afin de déterminer si le virus problématique est le virus de terrain ou le virus vaccinal avec le gène délété.
Amplification isotherme à médiation par boucle (LAMP) : offre une alternative rapide, peu coûteuse, flexible et extrêmement sensible aux acides nucléiques, qui nécessite peu d'équipement spécialisé et semble convenir aux tests de masse tels que la surveillance/détection en abattoir.
Sérologie : peut être utilisée pour déterminer si les animaux ont été exposés au virus de la peste porcine africaine lorsque le délai entre l'infection et le test est suffisamment long pour que la période de virémie et de présence du virus dans les tissus soit passée, ou si de bons échantillons d'autopsie ne sont pas disponibles.
Plusieurs kits ELISA sont disponibles pour tester la présence d'anticorps contre le P72, le P30 et d'autres antigènes de la PPA. Ces tests sont souvent utilisés pour identifier et généralement éliminer les groupes de truies qui ont été délibérément vaccinées ou accidentellement exposées au virus vaccinal illégal.

Un test ELISA rapide de capture d'antigène est disponible, mais sa sensibilité est très faible, de sorte que son utilisation est généralement limitée aux cas où un faux négatif rapide est souhaité.
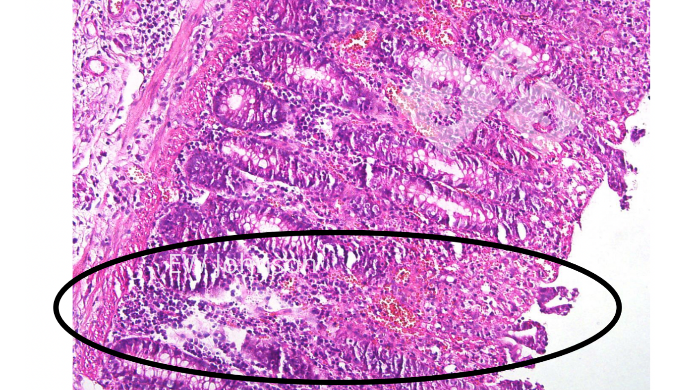
L'examen histopathologique montre une vasculite généralisée avec infarctus, hémorragie et thrombose dans de multiples organes, en particulier le poumon, la rate, les ganglions lymphatiques, les reins, le cerveau et l'intestin. On observe une destruction lymphoïde massive dans les ganglions lymphatiques et la rate, ainsi qu'une vacuolisation des macrophages alvéolaires. La nécrose et l'ulcération de l'épithélium du côlon sont fréquentes (photo 4).

L'utilisation de l'histopathologie pour vérifier les lésions chroniques typiques du vaccin à gènes délétés peut être très utile. Les porcs qui ont reçu de tels vaccins contre la peste porcine africaine présentent souvent des lésions vasculaires chroniques actives, fibrosantes et cicatrisantes, y compris des thrombus et des infarctus dans l'intestin, le foie, les tissus lymphoïdes, le cœur et les reins. Les ganglions lymphatiques peuvent présenter des zones hémorragiques avec nécrose et destruction des lymphocytes et des zones avec fibrose et cicatrisation. Les reproducteurs vaccinés peuvent présenter de larges zones de nécrose et de fibrose pulmonaires souvent confondues avec l'App chronique. Le virus du vaccin peut ne pas tuer le porc, mais celui-ci ne peut souvent pas excréter le virus du vaccin.
Il ne faut pas oublier que la PCR est un outil formidable, mais elle n'est pas infaillible et, dans la situation actuelle des élevages, elle n'est pas précise à 100 %. Cela ne veut pas dire qu'il ne s'agit pas d'une technique à laquelle il faut se fier, au contraire, mais même dans ce cas, les résultats de la PCR sont les résultats d'un test de diagnostic, pas un diagnostic. Le diagnostiqueur doit enquêter, utiliser tous les outils à sa disposition. Lorsque la peste porcine africaine est suspectée, des mesures de biosécurité doivent être prises, encore plus que d'habitude. Mais il existe plusieurs maladies similaires à la PPA et, outre le test de dépistage de la PPA, il est nécessaire de diagnostiquer la véritable cause du problème, ce qui peut nécessiter davantage d'interventions et d'observations que l'ablation d'un ganglion inguinal ou l'extériorisation de la rate par une petite incision.
































